山王グランドビル歯科の症例紹介
症例紹介
部分義歯の症例と費用
パーシャルデンチャー1


義歯のフレームを金属で作ることで、薄く丈夫にできます。異物感が少ないうえ、熱を伝導するので食事をおいしく食べることができます。
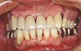
パーシャルデンチャー1の症例
| 主訴 | 左右奥歯がぐらぐらで物が噛めない |
|---|---|
| 年齢・性別 | 60代 男性 |
| 治療説明 | ぐらぐらの奥歯は抜歯し、すぐに仮の入れ歯をお作りします。 最終的に義歯のフレームを金属で作ることで、薄く丈夫にできます。 義歯であっても異物感が少ない方法を選択しました。 |
| 治療費 | 合計額:422,000円+税 金属床(7歯) 110,000+17,000×6=212,000円 クラスプ(3ヶ所) 50,000×3=150,000円 人工歯(7歯) 30,000=5,000×6=60,000円 |
| 治療期間 | 治療期間:3ヶ月 抜歯後すぐに仮義歯を入れ、抜いた傷がきれいに治るまでクッション材を使いました。 2か月後精密な型どりをして薄く丈夫な金属を使った義歯を作りました。 異物感も少なく、熱を伝導するので食事をおいしく食べることができると喜んでいただけました。 |
パーシャルデンチャー2(精密アタッチメント)


精密な「アタッチメント」という義歯の維持装置を使うと小さくしっかりと咬める義歯をつくることができます。
パーシャルデンチャー2の症例
| 主訴 | 左上の奥歯が割れてしまい当院に来院されました。 |
|---|---|
| 年齢・性別 | 50代 女性 |
| 治療説明 | 治療方法はブリッジとインプラント治療の2つがあります。 上の奥歯の部分の骨が非常に薄く、インプラントをする場合、骨を作る手術を先に行うなど治療期間や外科的な処置が多くなります。 義歯に対し異物感があるのはいやだという要望から、精密アタッチメントを使い、コンパクトな義歯を作ることで了解いただきました。 |
| 治療費 | 合計額:562,000万円+税 セラミック冠2本 120,000×2=240,000円 精密アタッチメント 150,000円 金属床(2歯) 110,000+17、000=127,000円 人工歯(2歯) 30,000+5,000=35,000円 ミリング 10,000円 |
| 治療期間 | 治療期間:4ヶ月 抜歯後、傷の治りを待つ間に手前の歯2本をアタッチメントを付けるために加工したセラミック冠を作ります。 精密に型どりし片側だけですむような小さな義歯を作りました。 通常、奥歯を失った場合、上顎を覆うような大きな義歯が必要となります。 精密アタッチメントを使うことで非常にコンパクトに違和感の少ない入れ歯を作ることができます。 |